Before & Afters
At Waltuch and Callan Orthodontics, we’re all about celebrating transformation. Whether it’s a confident grin in the mirror or a child who can’t stop showing off their new smile, we’ve seen firsthand how the right orthodontic care can truly make a difference. Every before and after you see here is a reflection of expert care, friendly support, and the moments that make it all worth it.
Behind every smile you see is a personalized treatment plan designed around real people, real lives, and real goals. No two patients are the same, which is why our team takes the time to understand what matters most to you—from comfort and convenience to long-term results you’ll love. These transformations aren’t just about straighter teeth; they’re about confidence, trust, and care you can feel every step of the way.
Take a look at what’s possible - and imagine your own smile story unfolding right here with us.
Schedule a Free Consultation and Take the First Step Toward Your Best Smile


Underbite


Underbite


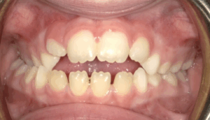
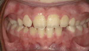
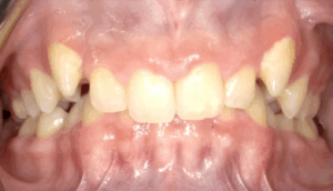
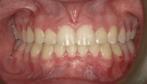
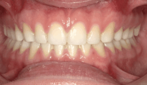
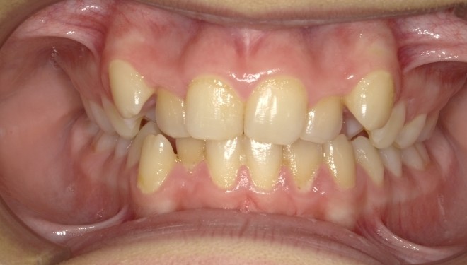
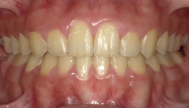
Overjet


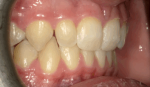
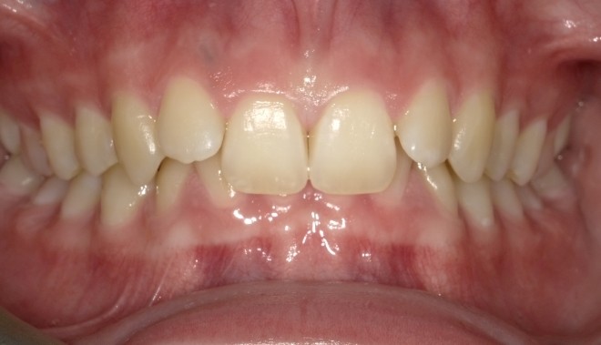
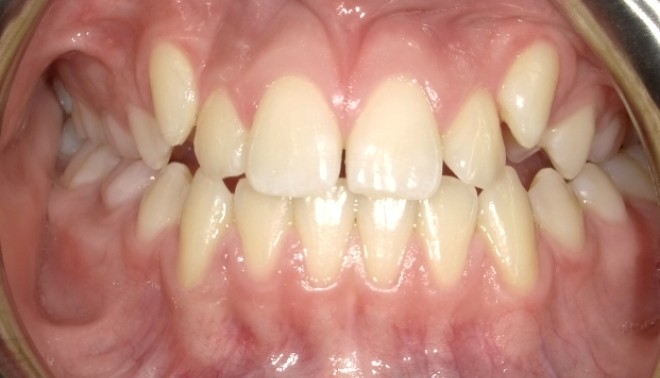
Overjet


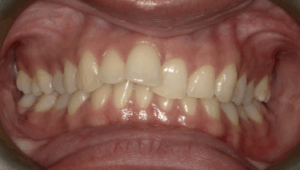
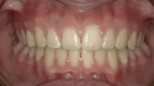
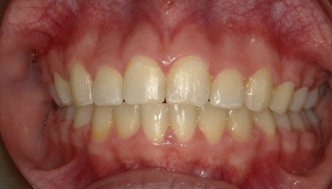
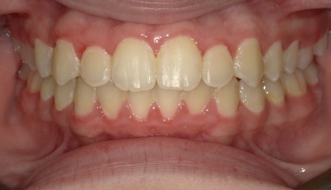
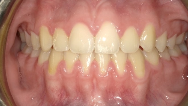
Overjet


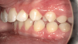
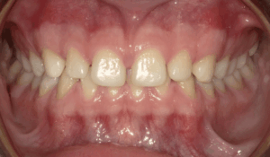
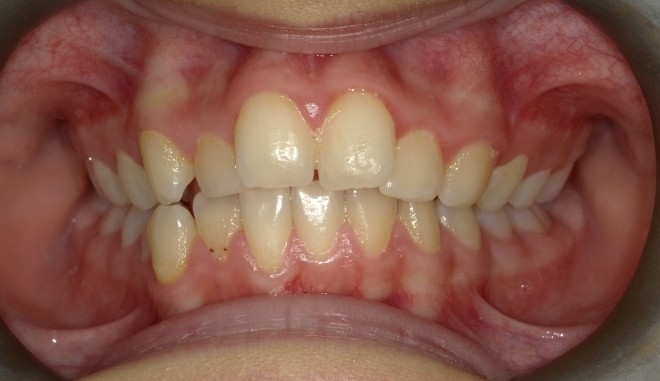
Overjet


Openbite


Openbite


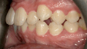
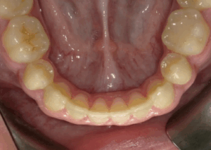
Missing Teeth


Deepbite


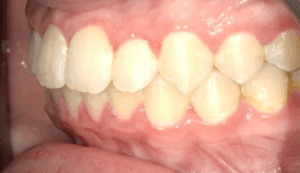
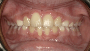
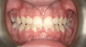
Overbite


Deepbite


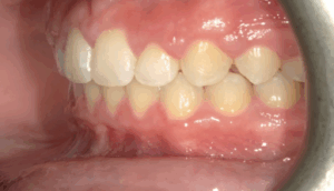
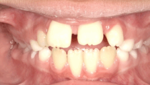
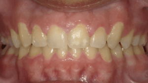
Spacing


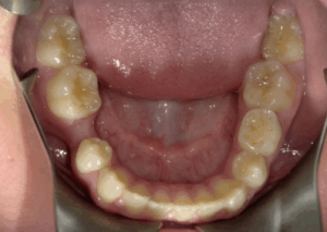
Youth Crowding


Youth Crowding


Youth Crossbite


Youth Crossbite


Youth Crossbite

Let’s create your dream smile
Your smile deserves a dedicated team who takes the time to get it right. With friendly specialists, modern tools, and a comfortable approach, Waltuch and Callan Orthodontics is ready to help you get started.

